La mamografía constituye la piedra angular de las pruebas de imagen en el diagnóstico del cáncer de mama, es la primera exploración a realizar en la mayoría de los casos y en pacientes a partir de 40-50 años resulta imprescindible para un diagnóstico temprano.

mamo

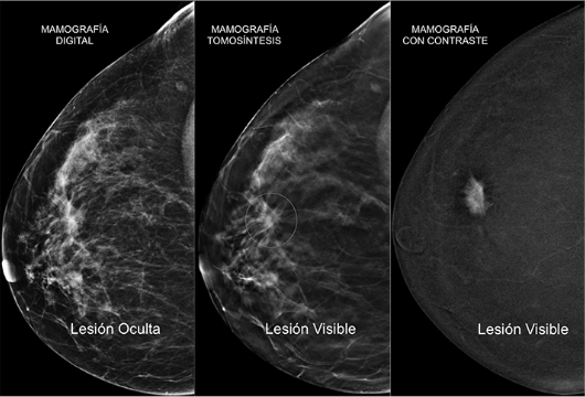
Mamografía Digital

Es una técnica radiológica que utiliza rayos X para la detección de imágenes. El desarrollo en los últimos años de detectores digitales ha permitido obtener un barrido completo de la mama y una mejora significativa de la calidad de la imagen. En la mamografía digital el uso de píxeles de mínimo tamaño permite efectuar ampliaciones lo suficientemente precisas como para poder diagnosticar tumores de menos de 3mm.

Actualmente disponemos de sistemas con inteligencia artificial (IA).

Recomendaciones para acudir a tu mamografía

Si es la primera vez que visitas nuestros Centros, acude con tus exámenes previos si los tienes, especialmente mamografías.

Reserva la cita para la revisión mamaria en aquellas semanas del mes que notes menos hinchados o inflamados los pechos para que la prueba resulte lo menos molesta posible.

Indica a los profesionales que te realizan la prueba si has detectado algún cambio o molestia.

Informa al profesional sanitario si estás embarazada o crees poder estarlo.

No apliques cremas ni desodorantes 24 horas antes de la prueba. 

Utiliza ropa cómoda que puedas desabrochar fácilmente. 

Retira cualquier tipo de joyas o accesorios de la zona del cuello y el pecho.

¿Cuándo es mejor realizarse las pruebas de mama?

Se pueden realizar en cualquier momento, aunque es cierto que si se realizan entre los días 7 y 14 del ciclo menstrual que es cuando la mama se encuentra en reposo, la mamografía produce menos molestias al realizar la compresión. También en esos días es menos probable que al realizar una resonancia de mama encontremos captaciones de tipo hormonal que pueden originar dudas.

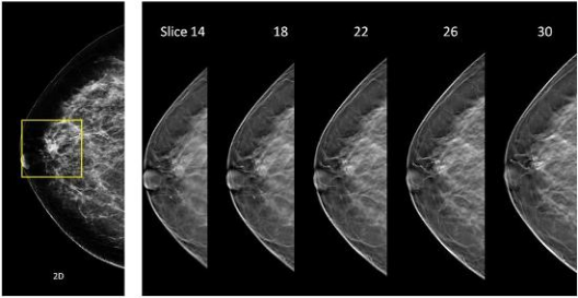
Mamografía con tomosíntesis

En el Centro de Patología de la Mama- Fundación Tejerina hemos sido los primeros en incorporar esta técnica radiológica en nuestro país.

En este procedimiento diagnóstico el tubo de rayos que realiza la mamografía es móvil y obtiene múltiples imágenes y desde un mayor número de ángulos para luego combinarlos en una imagen tridimensional. 

Esta tecnología avanzada ayuda a los radiólogos a detectar tumores más pequeños y a diferenciarlos de otras estructuras en la mama, por lo que es una herramienta muy útil para diagnosticar el cáncer de mama de una forma más precisa y temprana. Esto ha mejorado la prueba aumentando las tasas de detección del cáncer de mama un 35% y la sensibilidad y especificidad de la mamografía, reduciendo significativamente indicaciones de biopsias innecesarias.

La tasa de irradiación de la tomosíntesis está dentro del rango de la normalidad y necesita algo menos de compresión que la mamografía convencional, lo que supone una menor molestia para la paciente.

En 2023 incorporamos un nuevo mamógrafo 3D con tomosíntesis de alta resolución (70 micras) e imagen sintetizada, que minimiza la dosis de radiación a nuestras pacientes.

Además, nos va a permitir realizar análisis automáticos de imagen con herramientas de Inteligencia Artificial como asistencia al diagnóstico.

En el Centro de Patología de la Mama – Fundación Tejerina continuamos con el firme compromiso de mantenernos siempre a la vanguardia tecnológica y en constante actualización, ofreciendo los últimos avances diagnósticos y en tratamientos.

mamografia03

El Centro de Patología de la Mama es el primero en España que incorpora esta nueva técnica radiológica.

mamografia02

Mamografía con contraste

Recientemente, a la mamografía con tomosíntesis se ha incorporado una nueva técnica, la mamografía con contraste. Para llevarla a cabo, se inyecta a la paciente un contraste yodado (el mismo que se emplea en las pruebas de escáner) para posteriormente realizar la mamografía. Este contraste será captado por los tumores mamarios y representado en la imagen como una bombilla encendida en una habitación oscura.

Permite un incremento en la sensibilidad y especificidad de la prueba, ayudando a la detección de lesiones ocultas al aportar una información funcional y es especialmente útil en pacientes con mamas densas.

Podrá ser en ciertos casos una alternativa/complemento de la Resonancia Magnética de Mama.

Conoce más sobre la mamografía con contraste

El contraste se administra a través de una vena previamente a la realización de la mamografía.

La inyección del contraste tardará en pasar aproximadamente 1 minuto. Ese tiempo la paciente permanece sentada.

En algunas personas el contraste puede ocasionar calor, sensación de ganas de orinar e incluso mal sabor de boca que desaparecerán minutos después de su inyección.

Es importante comunicar al personal sanitario si se tiene alguna alergia conocida antes de iniciar el procedimiento, así como el uso de cualquier medicación.

Una vez finalizada la prueba, el profesional sanitario te indicará si debes esperar unos minutos en la sala de espera para asegurarnos de que no se presentan reacciones adversas al contraste. 

Deberás beber abundantes líquidos durante las horas posteriores a la inyección del contraste para la eliminación de este a través del riñón. 

Preguntas frecuentes

¿Qué pruebas incluye una revisión mamaria?

¿Qué diferencia a una mamografía de detección o screening de una diagnóstica?

¿Qué pruebas incluye una revisión mamaria?

Si este será el primer año en el que acudirás a una revisión mamaria puede serte de gran ayuda conocer algunos detalles de este control rutinario.

Empezamos por las pruebas fundamentales, es decir, la ecografía y la mamografía. Como siempre señala el Dr. Alejandro Tejerina, director del Área de Diagnóstico por Imagen del Centro de Patología de la Mama - Fundación Tejerina, cada una de ellas tiene fortalezas y debilidades, aunque juntas hacen un tándem casi perfecto. 

La ecografía mamaria se realiza con ecógrafos y permite obtener imágenes de tejido mamario de alta resolución. Se utiliza fundamentalmente como método complementario de los hallazgos de la mamografía o como primera prueba en pacientes jóvenes. La mamografía de screening o de cribado es aquella que realizamos en pacientes asintomáticas. 

A partir de los 40 años y de los 30 años en pacientes sintomáticas comenzaremos por la mamografía y completaremos el estudio con ecografía. Por debajo de los 30 años la prueba inicial a realizar será la ecografía en términos generales.

Existen otras pruebas algo más complejas, como son la resonancia magnética y la mamografía con contraste y tratan de demostrar una captación de contraste anómala por el tejido mamario que nos ayude a detectar una lesión. Las realizaremos en pacientes de riesgo como pueden ser mujeres con antecedentes y/o mamas densas, dudas diagnósticas o en pacientes con cáncer de mama confirmado (estadificación). También se emplean para valorar la respuesta al tratamiento quimioterápico.

¿Qué diferencia a una mamografía de detección o screening de una diagnóstica?

La mamografía de cribado o screening es aquella que se realiza en pacientes asintomáticas generalmente de forma anual. Dependiendo del medio/país que nos encontremos se comenzará entre los 40 o 50 años, si no existen factores de riesgo.

La mamografía diagnóstica es la que se lleva a cabo en pacientes sintomáticas que han notado algún cambio en su mama y por ello consultan al médico.

¿Puedo hacerme ecografía y prescindir de la mamografía?

¿Cuáles son las lesiones benignas más frecuentes?

¿Puedo hacerme ecografía y prescindir de la mamografía?

En un principio, en una mujer por encima de 40 años y si no existe una causa justificada, no. Se debe realizar mamografía y asociar o no la ecografía. Si hiciéramos únicamente ecografía podríamos pasar por alto algunas entidades de gran importancia como son las microcalcificaciones y algunas distorsiones que muchas veces son la manifestación inicial del cáncer de mama.

¿Cuáles son las lesiones benignas más frecuentes?

En algunas ocasiones, durante tu revisión mamaria, los médicos puedan identificar pequeños bultos o lesiones benignas de muchos tipos.

Aunque no deben alarmarte, nuestro equipo te explicará en qué consisten y, en caso necesario, aplicará un tratamiento para su eliminación.

Fibroadenoma: son nódulos que pueden notarse al tacto como una canica. Algunos se notan con la exploración mamaria, pero otros solo pueden verse con una ecografía o mamografía. Generalmente no es necesario llevar a cabo ningún tratamiento.
Mastitis: inflamación del tejido mamario generalmente producida por una infección, que puede provocar dolor, malestar general, hinchazón, calor o enrojecimiento. Es más común en mujeres lactantes, aunque puede darse en otras situaciones.
Quistes: saco redondo u ovalado que se encuentra en la mama y está relleno de líquido. Generalmente surge como un “bulto” palpable, redondo y móvil. En la mayoría de los casos no requiere tratamiento, salvo que produzca dolor o esté infectado.
Galactocele: Pequeño quiste formado por la acumulación del material graso de la leche fuera de los conductos que van al pezón. Si es grande y dificulta la lactancia, el ginecólogo puede extraer el líquido acumulado.

Otras patologías benignas de mama frecuentes en nuestras pruebas son:

Adenosis
Ganglio intramamario
Necrosis grasa
Lipoma 
Hamartoma

CPM-Tejerina.com
Resumen de privacidad

Esta web utiliza cookies para que podamos ofrecerte la mejor experiencia de usuario posible. La información de las cookies se almacena en tu navegador y realiza funciones tales como reconocerte cuando vuelves a nuestra web o ayudar a nuestro equipo a comprender qué secciones de la web encuentras más interesantes y útiles.